Toe Conditions

 

Toe conditions can be the result of hereditary or congenital causes or acquired over time. Often footwear can exacerbate problems. Sometime these can be managed with simple conservative non-surgical treatment, but other times may require surgery to correct the problem. Below are a few of the more common foot problems.

 

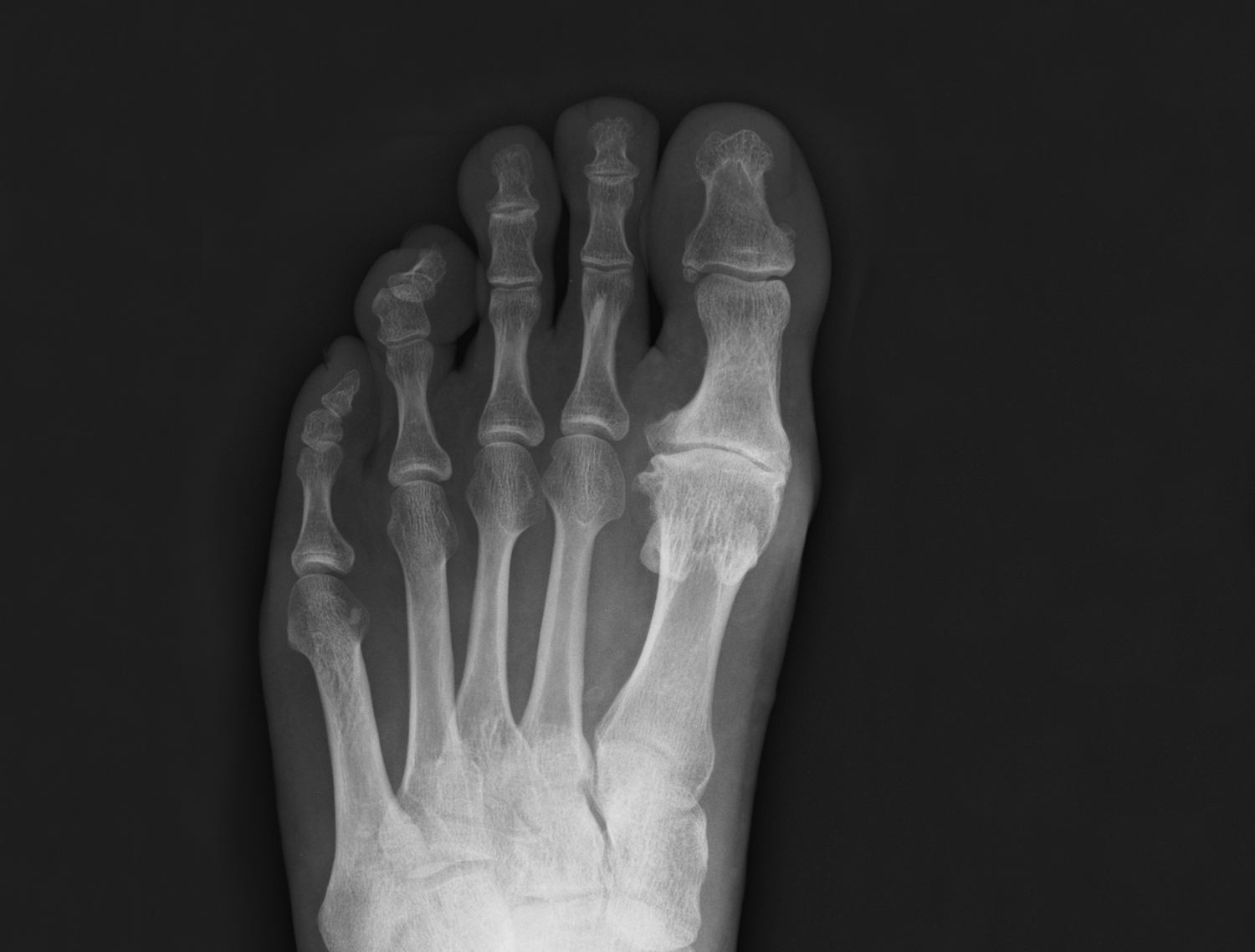
Arthritis of the

big toe

Arthritis of the big toe joint
You have developed arthritis of the big toe joint. This is often associated with a bony bump(s) on the side or top of the joint. This bump may have become red and sore and is often called a 'Bunion'.   Read more >>

Bunion
Your big toe joint has moved out of alignment. This causes the big toe to turn towards your second toe causing a bony bump to stick out at the side of your foot. This bump may have become red and sore and is known as a 'Bunion'  Read more >>

Freiberg's Disease
This is an uncommon disease where the blood supply is compromised to the second metatarsal head, most commonly seen in teenage girls. Read more >>

Hammer Toe

Lesser Toe Claw-Mallet-Hammer Toe
The toes have buckled making some of the joint prominent. This causes rubbing on the joints making them red and painful. Read more >>

Ingrown Toenails

Ingrown Toenails
Ingrown nails are indeed just that! The nail edge has cut or buried itself into the flesh around the nail edge. Read more >>

Sesamoid Pain

Sesamoid Pain
Sesamoid pain occurs under the big toe joint. The sesamoid bones are 2 small pebble bones that form part of the joint.  Read more >>

Tailor's Bunion

Tailor's Bunion Surgery (Osteotomy)
Your little toe has turned towards your fourth toe causing a bony bump to stick out at the side of your foot.  Read more >>