Foot and Ankle Surgery

 
 

Procedures Offered

At Matrix Foot and Ankle, Mr. Ben Yates and Mr. Matthew Cichero bring over 50 years of combined foot and ankle surgical experience, having worked with surgeons from Australia, the United States, Singapore, and the UK. They provide current surgical and conservative treatment options for conditions ranging from bunions and toe corrections through to midfoot post-traumatic arthritis surgery, fractures, and sports injury surgery such as ankle instability. Their personable and professional approach offers you the opportunity to discuss your foot and ankle problems and concerns.

 
 

Ankle Bostrum Ligament Repair

Ankle Bostrum Ligament Repair
Brostrum ligament repair with internal brace, to reduce pain and instability of the ankle joint and prevent long-term arthritis to the ankle joint. Read more >>

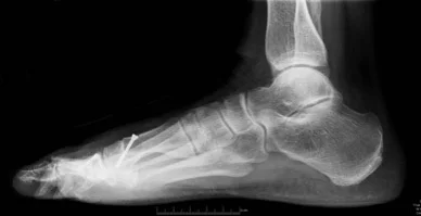
1st MTP Fusion

1st MTP Joint Fusion - Hallux Rigidus
Surgery to correct a painful, unstable or arthritic 1st metatarsophalangeal joint. Read more >>

Hallux Limitus/ Rigidus

Cheilectomy Procedure
Arthritic big toe joint arthroplasty surgery. Joint preserving procedure, which may improve the range of movement at the joint. Read more >>

 

Hallux Valgus Bunion

Hallux Valgus (Bunion)
Your big toe joint has moved out of alignment. This causes the big toe to turn towards your second toe causing a bony bump to stick out at the side of your foot. This bump may have become red and sore and is known as a 'Bunion'. Read more >>

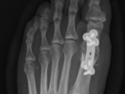
Lapidus Fusion

Lapidus Fusion
1st Metatarsocuneiform Joint Fusion. To reduce pain and deformity in larger or unstable bunions and to straighten the big toe. Read more >>

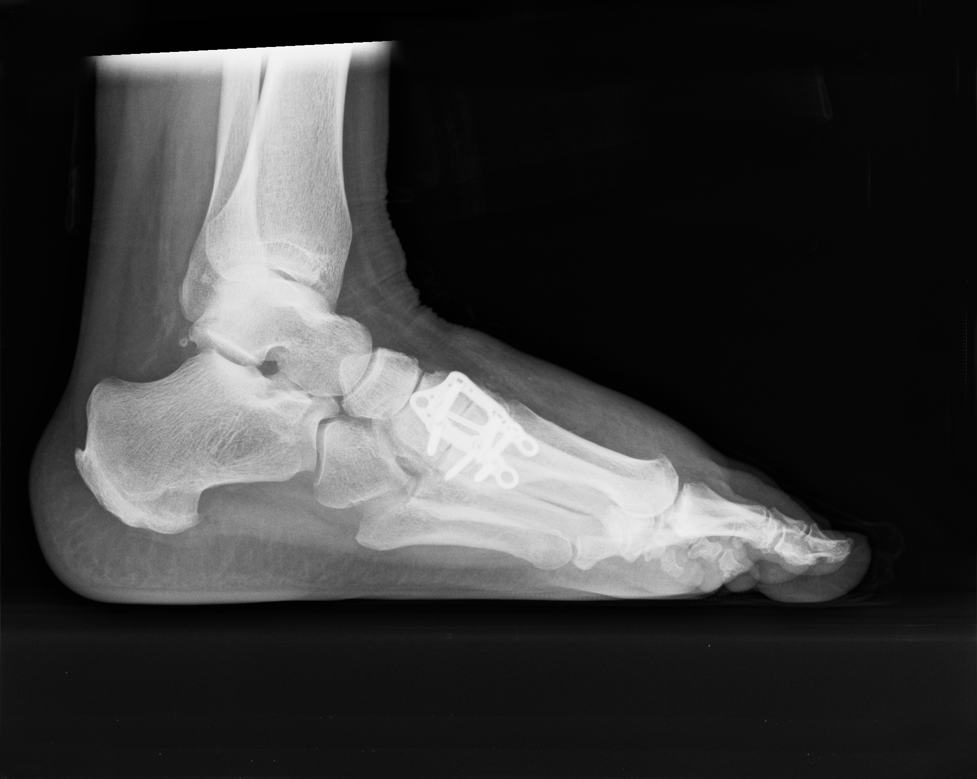
Lesser MC Fusion

Lesser MC Fusion
To reduce pain and deformity due to arthritis in the joint. Read more >>

 

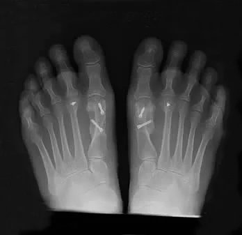
Lesser Toe Hammer-Claw-Mallet Toe

Lesser Toe Hammer-Claw-Mallet Toe
The toes have buckled making some of the joint prominent. This causes rubbing on the joints making them red and painful. Read more >>

Morton's Neuroma

Morton's Neuroma
Relieve pain and disability to the forefoot. Improve quality of life for the patient. Read more >>

NCJ Fusion

Navicular-Cuneiform Joint Fusion
To reduce pain and deformity due to arthritis in the joint. Read more >>

 

Plantar Plate Repair

Plantar Plate Repair
Reduces the pressure/pain under the head of the bone/ball of the foot and in the joint – realigns the joint correctly to avoid long-term arthritis and further deformity.  Read more >>

Weil Schwartz Osteotomy

Weil Schwartz Osteotomy
Weil lesser metatarsal osteotomy. Reduces the pressure/pain under the head of the bone/ball of the foot. Read more >>

Exercises after surgery

Exercises after surgery
Post surgical exercises and helpful hints to help improve the flexibility of your great toe joint and ankle. Read more >>