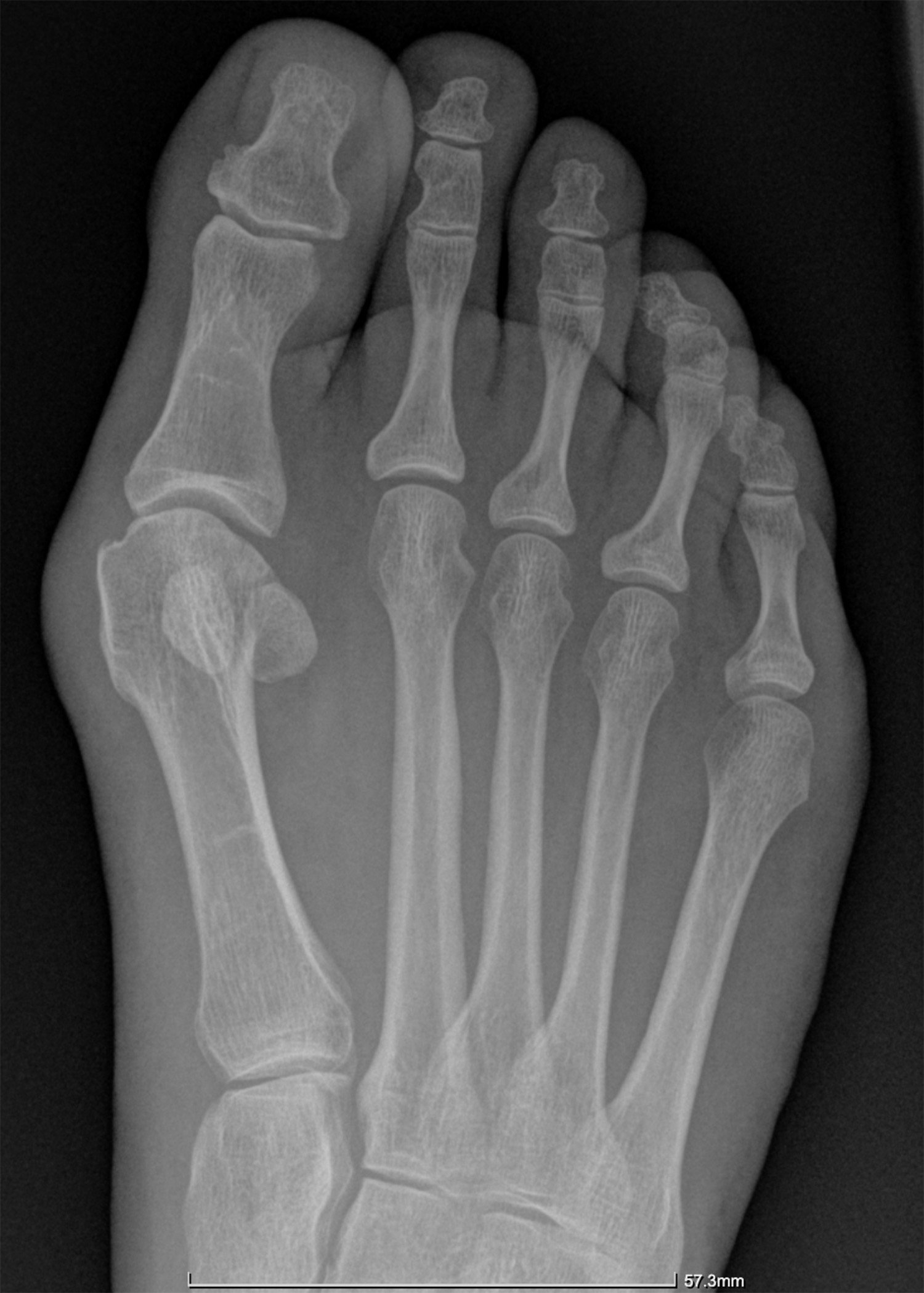
Hallux Valgus (Bunion)


Procedure

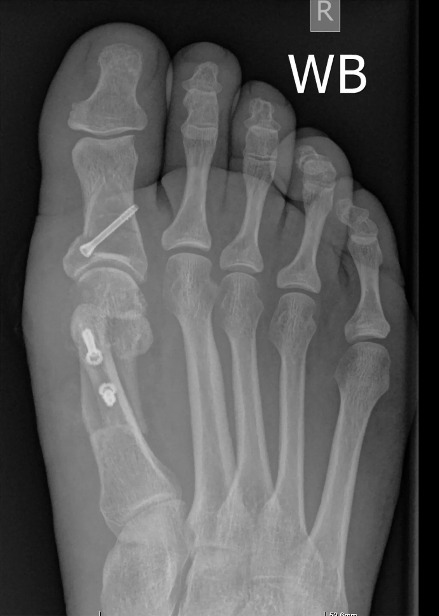
1st Metatarsophalangeal Joint Osteotomy (Chevron/ Scarf +/– Akin).

Aims of surgery

To reduce pain and deformity in bunions.
To straighten the big toe.

Advantages of this operation

It helps to stabilise the foot and allows correction of larger deformities.
Improve function and quality of life.

Specific risks of this operation

Joint stiffness.
Arthritis in the same or other joints.
Transfer of pressure to the ball of the foot. Recurrence.
Nerve/tendon/blood vessel damage. Delayed/Non-union of bone (bone does not knit together).
Fixation problems (with the screws/plates/pins. Elevation of the 1st metatarsal.
Shortening of the big toe.
Further surgery.
Deep Vein Thrombosis/Pulmonary Embolism.

Operation time

Usually about 40 minutes.

Incision placement/stitches

On top and to the side of the big toe joint and with absorbable stitches, where possible.

Procedure

An incision is made to the joint. A bump is removed from the side of the foot, and sometimes a tendon released between the 1st and 2nd toes. The 1st metatarsal is then cut either in a ‘>’ shape or a side-on ‘z’ shape. The bone is shifted across to realign the big toe joint and either 1 or 2 screws used to hold the bone in the new position until the fracture has united (usually 4–6 weeks). In addition, an akin or closing wedge osteotomy/bone cut of the big toe may be required.

Fixation

Internal fixation (bone screws, plates or wires) are usually used.
You will not normally notice these and they do not usually need to be removed (<20%).

Will I have plaster?

No. You will require a special post-operative shoe for about 3–4 weeks, then transition to lace up supportive shoes.

Is this a day procedure?

Yes, you can usually go home the same day (you will usually be admitted for half a day).

Estimated time off work

Non-manual work approximately 4 weeks. Manual work 5–6 weeks.

Indications for the procedure

Painful bunions, unable to t into shoes, blisters, risk of ulceration.

Alternative treatments

Manage your symptoms by altering activity levels, using painkillers and anti-inflammatories, changing footwear (including bespoke), joint injection therapy and using
an insole or orthotic foot support (the use of insoles/ orthoses or toe splints has not been shown to correct toe deformity).

More information

Speak with your consultant.

The surgery is usually undertaken with local anaesthetic in conjunction with sedation or general anaesthetic. Some patients elect to have it only under local anaesthetic and remain awake during the procedure.

The operation takes about 40 minutes, although you will be in the day surgery unit for longer. You must have a competent adult at home for the rest day and night after surgery. This allows us to be sure you will be safe for the first night. It is therefore very important that you have people to look after you and any dependants, such as children, elderly or disabled relatives, during this time.

Post-Operative Care   

First 2–4 days after surgery

This is the time you are likely to have the most pain, but you will be given painkillers to help. You must rest completely for 2–4 days.

  • You will be able to stand and take weight on your operated foot after the operation, but you must rest, with your feet up, as much as possible.

  • You should restrict your walking to going to the bathroom, the sofa and to bed.

  • You can get about a little more after 3 days.

1 week after surgery

  • You will need to attend an appointment for your foot to be checked and, if necessary, redressed.

Between 4–6 weeks after surgery

  • The bandages will be removed if all is proceeding well and you will be allowed to start walking in normal shoes.

Between 4–8 weeks after surgery

  • If all has gone well you will be able to start wearing a good lace-up shoe/trainer.

  • The foot will still be swollen and twinges of discomfort are not uncommon at this time due to your increasing activity.

  • You will be instructed regarding rehabilitation exercises, or you may be referred to a physiotherapist.

  • You may return to non-manual work, but may need longer if you have an active job.

  • You may return to driving if you can perform an emergency stop. You must check with your insurance company and Mr. Cichero before driving again.

Between 12–16 weeks after surgery

  • The foot should continue to improve and begin to feel normal again.

  • There will be less swelling.

  • Sport can be considered depending on your recovery.

6 months after surgery

  • The swelling should now be slight and you should be getting the full benefit of surgery.

12 months after surgery

  • The foot has stopped improving with all healing complete.

Please note, if a complication arises, recovery may be delayed.